

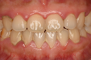
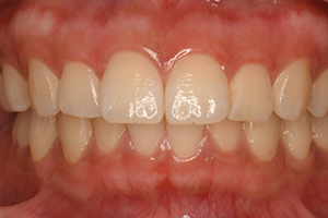
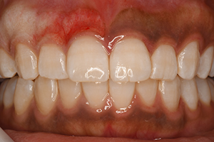
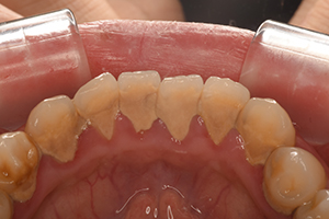
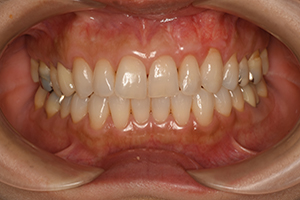
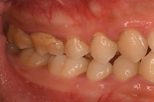
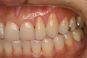
歯石の除去と、患者様の丁寧なブラッシングの相乗効果でここまで改善することが出来ました。


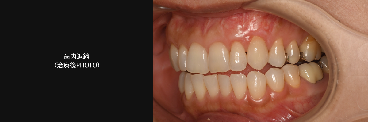
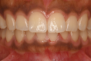
歯肉退縮による審美障害。歯肉移植を行い改善を図りました。


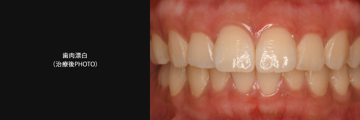
歯科用顕微鏡を用いることで血管を傷つけることなく、メラニン色素を選択的にレーザーで除去することが可能です。


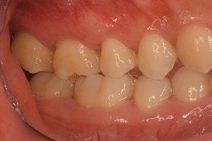
下顎の骨が著しく吸収しており、食事に制限がありましたが、治療後は楽しい食生活を送られております。
「かなり太ってしまったよ」と最高のほめ言葉を頂きました。


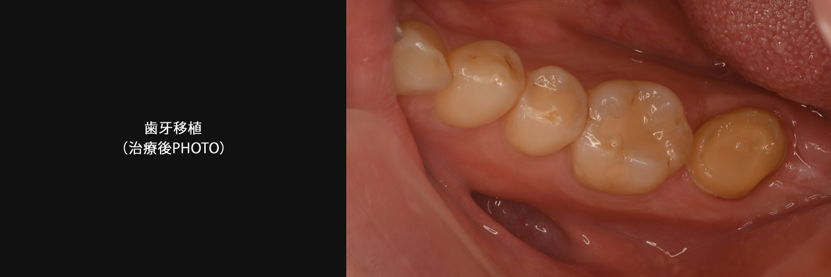
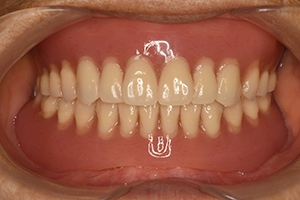
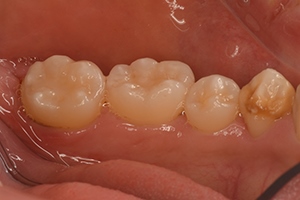
幸運なことに状態のいい親知らずが残っていたため、歯牙移植を行った症例です。
患者様の丁寧なブラッシングが成功の秘訣です。
池田歯科医院は多くの皆様に支えられ、開業65年を迎えました。
現在も岡谷市・下諏訪町・茅野市・富士見町方面からもたくさんの方に
支持していただき、本当に嬉しく思います。
開院当初は痛みを取り除く治療と補綴(被せ物や入れ歯)が診療のメインでしたが、
時代とともに痛くならない、悪くならない治療・予防・メンテナンスへとシフトしてきており、
近年では歯周病治療・審美治療・インプラント治療も確立し、
長年のコンプレックスから解放される方も多くいらっしゃいます。
医療は日々進歩し、素晴らしい治療法がどんどん出てきております。
当院ではレベルの高い治療を受診されるすべての方に
提供していけるよう、今後ともスタッフ一同、より一層の努力を行い、
皆様の生活に皆様の笑顔を添えることができれば本望です。
理事長 池田守人
