重度の虫歯や歯周病、あるいは事故やスポーツなどになって歯を失ってしまったら、すぐに何らかの治療を受けて歯の機能を補う必要があります。
永久歯は失ったら二度と生えてくることはなく、たとえ1本でも歯がない状態を放置すると歯並び・咬み合わせの乱れなどさまざまな悪影響が起こってしまいます。
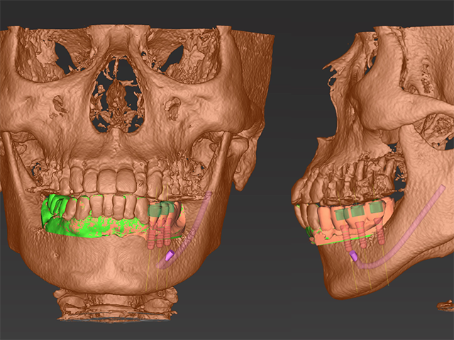
歯を失ったときの選択肢には「入れ歯」「ブリッジ」そして「インプラント」があります。
インプラントは人工歯根をあごの骨に埋めて固定する治療で、しっかり咬める・見た目が自然といったメリットがあります。
①自分の歯と同じように咬める
インプラント治療を行うと、天然歯の約80%まで咬む力が回復するといわれています。総入れ歯は天然歯の約20%までしか回復しないといわれていますから、自分の歯でしっかり咬みたいという方にはインプラント治療がおすすめです。
②見た目が自然
人工歯根の上に装着する人工歯はセラミック製で、天然歯と同じような白さと透明感が特徴です。見た目が重要な前歯にも違和感なくなじみ、治療をしたと気づかれることはありません。
③健康な歯を傷つけない
インプラント治療は歯を失った部分のみで治療が完結するため、部分入れ歯やブリッジのように健康な両隣の歯に負担をかけることがありません。
④ストレスなく食事を楽しめる
入れ歯を装着して食事をすると、咬んだときにずれたり、沈んだり、味覚を感じにくかったりとさまざまなストレスをともなうことがあります。しかしインプラントはそういったストレスが一切ありません。
①費用が高額
インプラント治療は保険適用外であり全額自己負担の治療となるため、費用は高額です。ただし、医療費控除によって治療費の負担を軽減することはできます。
②時間がかかる
インプラント治療には、治療前の検査と診断、手術、そして手術後の経過観察がともないます。特に手術で人工歯根を埋入してからは、あごの骨と完全に結合するまで2~6ヶ月ほど待たなければなりません(一般的な手法の場合)。
③治療が行えない場合がある
インプラント治療は、全身疾患を患っている場合などには行えないことがあります。
※糖尿病・心臓疾患・脳疾患・悪性腫瘍など
当院では、インプラント治療の前に咬み合わせの治療を行います。もし咬み合わせがずれていた場合、そのままインプラント治療を行うとさまざまな悪影響が考えられるためです。さらに咬み合わせがゆがんだり、咬み合う歯の当たりが強くインプラントが破損したりといったことが起こるため、事前の咬み合わせの調整は欠かせません。
せっかくインプラント治療で咬める喜びを取り戻すのですから、土台をしっかりと整えて、より長く、よりしっかり咬めるようにサポートさせていただきます。
池田歯科医院は多くの皆様に支えられ、開業65年を迎えました。
現在も岡谷市・下諏訪町・茅野市・富士見町方面からもたくさんの方に
支持していただき、本当に嬉しく思います。
開院当初は痛みを取り除く治療と補綴(被せ物や入れ歯)が診療のメインでしたが、
時代とともに痛くならない、悪くならない治療・予防・メンテナンスへとシフトしてきており、
近年では歯周病治療・審美治療・インプラント治療も確立し、
長年のコンプレックスから解放される方も多くいらっしゃいます。
医療は日々進歩し、素晴らしい治療法がどんどん出てきております。
当院ではレベルの高い治療を受診されるすべての方に
提供していけるよう、今後ともスタッフ一同、より一層の努力を行い、
皆様の生活に皆様の笑顔を添えることができれば本望です。
理事長 池田守人
