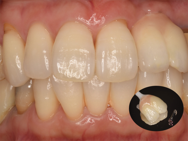
デジタル化が歯科業界にも取り入れられ、CAD/CAMは誤差の解決に大きく貢献しています。
当院では、「CT撮影→顔面の分析→口腔内スキャナーとCTのドッキング→<治療>
インプラントについてはCADCAMで治療用装置を作成→口腔内スキャナーで型取り→補綴物作製」のほぼ全てにデジタルを利用し誤差の少ない治療を行っております。(保険適用外あり)
①CT撮影

②顔面の分析

③口腔内スキャナーとCTのドッキング

④<治療> インプラントはCAD・CAMで治療用装置を作成

⑤口腔内スキャナーで型取り

⑥補綴物作製
池田歯科医院は多くの皆様に支えられ、開業65年を迎えました。
現在も岡谷市・下諏訪町・茅野市・富士見町方面からもたくさんの方に
支持していただき、本当に嬉しく思います。
開院当初は痛みを取り除く治療と補綴(被せ物や入れ歯)が診療のメインでしたが、
時代とともに痛くならない、悪くならない治療・予防・メンテナンスへとシフトしてきており、
近年では歯周病治療・審美治療・インプラント治療も確立し、
長年のコンプレックスから解放される方も多くいらっしゃいます。
医療は日々進歩し、素晴らしい治療法がどんどん出てきております。
当院ではレベルの高い治療を受診されるすべての方に
提供していけるよう、今後ともスタッフ一同、より一層の努力を行い、
皆様の生活に皆様の笑顔を添えることができれば本望です。
理事長 池田守人
